La estomatitis es una inflamación que afecta la mucosa de la boca y puede aparecer en diversas áreas, como la lengua, las encías, el paladar, la cara interna de las mejillas, los labios e incluso la garganta. Aunque no está relacionada directamente con los dientes, es una afección bastante común de la boca y puede causar molestias significativas, dificultando actividades como masticar, tragar, hablar e incluso bostezar.
Si últimamente has notado llagas o úlceras en la boca, manchas rojas en el paladar o un dolor persistente en la garganta, podrías estar experimentando estomatitis. Sigue leyendo para saber más sobre esta afección.
Qué es la estomatitis
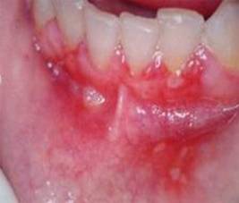
La estomatitis, también conocida como gingivoestomatitis, es una inflamación que afecta la mucosa bucal, provocando hinchazón y lesiones en diferentes partes de la boca, como los labios, el paladar, la lengua, las encías y las mejillas. Dependiendo de su intensidad, esta inflamación puede generar dolor en las comisuras de los labios y las mejillas internas. En algunos casos, también es posible sentir hormigueo en la lengua y los labios, así como la aparición de úlceras y llagas en la boca. Esta afección produce un dolor agudo y constante que afecta la cavidad bucal, haciendo que acciones simples como hablar o comer se vuelvan incómodas.
Tipos de estomatitis
La estomatitis puede manifestarse de distintas formas, y según sus características, se clasifica en los siguientes tipos:
- Estomatitis aftosa:
Es la más común y se caracteriza por la aparición de úlceras pequeñas, redondeadas y dolorosas de color blanco o amarillento, rodeadas de un borde rojo. Suelen localizarse en el interior de las mejillas, la lengua o el labio inferior. Estas lesiones, que generalmente miden menos de 10 milímetros, suelen precederse por una sensación de escozor u hormigueo. Se cree que su origen está relacionado con alteraciones del sistema inmune, cambios hormonales, alergias alimentarias o situaciones de estrés. - Estomatitis herpética:
Causada por el virus del herpes simple, esta variante es más frecuente en niños menores de seis años. Se caracteriza por la aparición de vesículas llenas de líquido que, al romperse, forman aftas muy dolorosas. Además de las lesiones en la boca, esta infección puede causar fiebre, irritabilidad, salivación excesiva y dificultad para tragar. - Estomatitis angular o queilitis:
Conocida popularmente como «boqueras», esta variante provoca heridas en las comisuras de los labios y manchas rojas incómodas. En casos crónicos, la piel de la zona se engrosa y puede agrietarse al abrir la boca, generando un dolor considerable. Entre sus causas están la irritación constante por la saliva, el mal ajuste de prótesis dentales y la infección por hongos como la cándida.
Principales causas de la estomatitis
Las causas de la estomatitis son variadas y pueden estar relacionadas con factores internos y externos. Entre las más comunes destacan:
- Mala alimentación: Las dietas ricas en azúcares y pobres en fibra y nutrientes esenciales pueden predisponer a la aparición de estas lesiones bucales.
- Prótesis dentales y ortodoncia: El uso de prótesis mal ajustadas o aparatos de ortodoncia puede generar irritación y heridas en la boca.
- Reacciones alérgicas: Algunos alimentos o productos de higiene bucal pueden desencadenar reacciones que inflamen la mucosa.
- Tabaco y alcohol: El consumo frecuente de estas sustancias es un factor de riesgo importante para desarrollar problemas en la boca.
- Radioterapia y quimioterapia: Los tratamientos contra el cáncer pueden debilitar el sistema inmunológico, favoreciendo la aparición de estomatitis.
Síntomas de la estomatitis
Los síntomas de la estomatitis varían según el tipo y la gravedad, pero los más comunes incluyen:
- Dolor y ardor en la boca.
- Enrojecimiento e hinchazón de la mucosa.
- Aparición de llagas o úlceras dolorosas.
- Sensación de hormigueo en labios y lengua.
- Dificultad para comer, hablar o tragar.
- En casos graves, fiebre y malestar general.
Diagnóstico y tratamientos para la estomatitis
El diagnóstico de la estomatitis se realiza a través de una evaluación clínica detallada. En casos específicos, se pueden solicitar pruebas adicionales, como:
- Biopsia de tejido para descartar enfermedades autoinmunes.
- Cultivos microbiológicos para identificar infecciones bacterianas, fúngicas o virales.
- Pruebas de alergia para determinar reacciones adversas.
El tratamiento dependerá de la causa específica e incluirá medicamentos antivirales, antibióticos, antifúngicos y analgésicos para aliviar el dolor.
Tratamientos para la estomatitis
En la mayoría de los casos, la estomatitis desaparece por sí sola en un plazo de 7 a 10 días. Sin embargo, existen medidas para aliviar los síntomas y acelerar la recuperación:
- Mejorar la higiene bucal: Un cepillado suave y el uso de hilo dental ayuda a evitar infecciones.
- Limpieza de prótesis dentales: Además de la limpieza habitual es fundamental realizar una limpieza profesional para evitar acumulación de bacterias.
- Tratamiento de la causa subyacente: En casos de origen infeccioso, pueden prescribirse medicamentos antivirales, antibacterianos o antimicóticos.
- Corticosteroides y enjuagues bucales: Para reducir la inflamación y aliviar el dolor, se recomiendan corticosteroides y enjuagues con clorhexidina o lidocaína.
- Consumo adecuado de líquidos y analgésicos: Para controlar la fiebre y el malestar general.
Si los síntomas persisten por más de dos semanas o dificultan hablar y comer, es importante acudir al dentista para realizar un diagnóstico más profundo. En niños pequeños, la deshidratación es un riesgo considerable si la ingesta se ve afectada, por lo que podría ser necesario un tratamiento médico urgente.
Cuándo consultar a un dentista
Es recomendable visitar al odontólogo en los siguientes casos:
- Las llagas son extensas y el dolor es intenso.
- Los síntomas persisten por más de dos semanas.
- Dificultad para comer o pérdida de peso.
- En niños, si se detectan problemas para ingerir alimentos o signos de deshidratación.
Cómo tratar la estomatitis en casa. Remedios caseros
Aunque la estomatitis puede requerir tratamiento médico en algunos casos, existen varias soluciones caseras que pueden ayudarte a reducir el dolor y la inflamación de la boca y acelerar la recuperación:
- Enjuagues con Agua Salada. El agua salada es uno de los remedios más comunes y efectivos para calmar la estomatitis. La sal tiene propiedades antibacterianas y antiinflamatorias que ayudan a reducir la irritación y prevenir infecciones secundarias.
Cómo hacer un enjuague de agua salada:
- Disuelve una cucharadita de sal en un vaso de agua tibia.
- Haz enjuagues bucales varias veces al día, especialmente después de las comidas.
Este enjuague puede ayudar a limpiar las úlceras bucales y aliviar el dolor.
- Aloe Vera. El aloe vera es conocido por sus propiedades curativas y calmantes, lo que lo convierte en un excelente remedio natural para tratar la estomatitis. El gel de aloe vera puede reducir la inflamación, promover la cicatrización de las heridas y aliviar el dolor.
Cómo usar el aloe vera para aliviar molestias en la boca:
- Extrae el gel de una planta de aloe vera fresca o compra gel de aloe vera puro en tiendas naturistas.
- Aplica una pequeña cantidad de gel directamente sobre las úlceras bucales y deja que actúe durante unos minutos.
- Repite el proceso varias veces al día para obtener mejores resultados.
- Miel de Abeja. La miel tiene propiedades antibacterianas y antiinflamatorias que pueden ser útiles para aliviar las úlceras causadas por la estomatitis. Además, ayuda a promover la curación y a reducir el dolor.
Cómo usar la miel para las úlceras de la boca:
- Aplica una capa fina de miel directamente sobre las llagas bucales.
- Déjala actuar durante unos minutos antes de enjuagar con agua tibia.
- Realiza este tratamiento 2 o 3 veces al día para obtener alivio.
- Bicarbonato de Sodio. El bicarbonato de sodio es un excelente agente alcalinizante que puede ayudar a neutralizar los ácidos en la boca y aliviar la irritación de las úlceras. También puede ayudar a limpiar y desinfectar la cavidad bucal.
Cómo usar bicarbonato para aliviar irritación en la boca:
- Disuelve una cucharadita de bicarbonato de sodio en un vaso de agua tibia.
- Haz enjuagues bucales con esta solución durante 30 segundos, varias veces al día.
- También puedes aplicarlo directamente sobre las úlceras, dejando que actúe durante unos minutos antes de enjuagar.
- Infusión de Manzanilla. La manzanilla tiene propiedades calmantes y antiinflamatorias que pueden ayudar a reducir la inflamación y aliviar el dolor en la boca. El té de manzanilla también ayuda a promover la curación de las úlceras bucales.
Cómo usar manzanilla para calmar el dolor:
- Prepara una infusión de manzanilla.
- Una vez que se haya enfriado, haz enjuagues bucales con el té varias veces al día.
- También puedes aplicar una bolsita de té de manzanilla fría directamente sobre las llagas bucales para un alivio rápido.
- Aceite de Clavo de Olor. El clavo tiene propiedades antimicrobianas y analgésicas que pueden ser útiles para calmar el dolor y combatir las infecciones en la boca. El aceite de clavo es especialmente eficaz para aliviar el dolor de las úlceras bucales.
Cómo usar clavo para tratar las llagas de la boca:
- Aplica una pequeña cantidad de aceite esencial de clavo en un algodón y frota suavemente sobre las llagas bucales.
- También puedes masticar un clavo de olor para obtener alivio del dolor.
Es importante usar este remedio con moderación, ya que el aceite de clavo puede ser muy potente.
- Leche de Magnesia. La leche de magnesia es un antiácido suave que puede ayudar a reducir la irritación en la boca y aliviar el dolor causado por las úlceras de la estomatitis.
Cómo usar lecha de magnesia para la inflamación en la boca:
- Aplica una pequeña cantidad de leche de magnesia sobre las llagas bucales usando un algodón.
- Déjala actuar durante unos minutos antes de enjuagar la boca con agua tibia.
Aunque estos tratamientos caseros pueden ayudarte a aliviar los síntomas de la estomatitis, es importante recordar que no sustituyen el tratamiento médico profesional.
Si los síntomas persisten durante más de dos semanas, o si la inflamación se extiende a otras áreas de la boca o la garganta, es necesario consultar a un dentista o médico rapidamente para recibir el tratamiento adecuado.
La prevención sigue siendo clave, por lo que mantener una buena higiene bucal y adoptar hábitos saludables es fundamental para evitar futuros episodios de estomatitis.
Prevención y Cuidados para Evitar la Estomatitis
Prevenir la aparición de estomatitis es posible si se siguen una serie de cuidados básicos que ayudan a mantener una buena salud bucal.
Estos son algunos de los hábitos y consejos para evitar esta molesta afección de la boca:
- Mantén una correcta higiene bucal
Una correcta higiene oral es clave para prevenir infecciones y la aparición de úlceras. Para ello, es importante:
- Cepillarse los dientes al menos dos veces al día con un cepillo de cerdas medias para evitar dañar la mucosa.
- Usar hilo dental diariamente para eliminar restos de comida que pueden irritar las encías.
- Enjuagarse con un colutorio antibacteriano para reducir la proliferación de microorganismos.
Recuerda que es recomendable cambiar el cepillo de dientes cada tres meses para evitar la acumulación de bacterias.
- Evita los alimentos irritantes
Ciertos alimentos pueden empeorar la inflamación y provocar molestias en la cavidad bucal. Se sugiere evitar:
- Comidas picantes o muy ácidas.
- Bebidas alcohólicas y café en exceso.
- Alimentos muy calientes o demasiado fríos.
Opta por alimentos frescos, como frutas y verduras, y bebe agua en abundancia para mantener una buena hidratación.
- Evita el tabaco y reduce el consumo de alcohol
El tabaco y el alcohol son factores de riesgo para múltiples problemas bucales, incluida la estomatitis. Reducir o eliminar su consumo ayudará a mantener una boca saludable.
- Evita el estrés para prevenir la Estomatitis
El estrés debilita el sistema inmunológico, facilitando la aparición de infecciones en la boca.
Practicar técnicas de relajación como yoga, meditación o simplemente dedicar tiempo a actividades placenteras puede ayudar a reducir su impacto en la salud bucal. Estas prácticas no solo ayudan a prevenir estomatitis, sino también a mantener una buena salud bucal y general.
- Cuidado con las Prótesis Dentales y Ortodoncia
Si usas prótesis dentales o brackets, asegúrate de que estén bien ajustados para evitar rozaduras y heridas. Además, una correcta limpieza diaria es fundamental para prevenir infecciones.
- Visita Regular al Dentista para Detectar Problemas
Realizar revisiones periódicas permite detectar problemas a tiempo y evitar el desarrollo de afecciones bucales graves, incluyendo la estomatitis. Una limpieza profesional al menos una vez al año es una buena práctica.
- Una buena alimentación fortalece tu sistema inmunológico
Una alimentación rica en vitaminas y minerales ayuda a fortalecer el sistema inmunológico. Alimentos como cítricos, verduras de hoja verde, pescados ricos en Omega-3 y frutos secos son ideales para mantener una buena salud bucal.
- Evita Morderte los Labios y las Mejillas
El hábito de morderse la parte interna de la boca puede generar pequeñas lesiones que, si no se cuidan, pueden evolucionar en estomatitis. Es importante ser consciente de este hábito para corregirlo.
- Una correcta hidratación es básica para tener una boca sana
La sequedad en la boca facilita la irritación y la aparición de llagas. Beber agua de forma regular ayuda a mantener la mucosa hidratada y protegida.
- Utiliza protectores bucales si practicas deportes
El uso de protectores bucales ayuda a evitar lesiones y heridas en la boca durante la práctica de deportes de contacto.
Como ves, la estomatitis es una afección bucal bastante habitual que puede ser incómoda y dolorosa, que en general desaparece por si sola en un días, pero si unos cuidados mínimos en tu alimentación, hidratación, ritmo de vida y adoptas unos buenos hábitos de higiene y prevención, es posible evitar su aparición y la de otras enfermedades como la gingivitis, las caries,… que ponen en riesgo tu salud dental y la integridad de tu dentadura.
Si experimentas síntomas persistentes, concierta una cita con tu odontólogo para recibir un diagnóstico adecuado y mantener tu salud bucal en óptimas condiciones. En nuestra clínica dental en Mataró contamos con un completo equipo de dentistas para solucionar cualquier tipo de patología bucal antes de que se convierta en un problema como que requiere tratamientos más largos y costosos.
Mantener una buena salud bucal no solo previene la estomatitis, sino que mejora significativamente la calidad de vida. Cuida de tu sonrisa y sigue leyendo nuestros artículos para más consejos sobre salud oral.
Cómo afecta el estrés a la salud dental. Problemas y soluciones
Qué es la boca seca o xerostomía. Cómo tratarla
Agenesia dental: Qué es, consecuencias y cómo tratarla
Sarro dental. Qué es, cómo afecta a tu Salud y cómo prevenirlo

Graduada en Odontología – Universidad Internacional de Cataluña (UIC).
Master en Europeo de Endodoncia – Universidad Internacional de Catalunya (UIC).
Certificación Invisalign Go
Profesora asociada al departamento de odontología de la UIC
Related Posts

Graduada en Odontología – Universidad Internacional de Cataluña (UIC).
Master en Europeo de Endodoncia – Universidad Internacional de Catalunya (UIC).
Certificación Invisalign Go
Profesora asociada al departamento de odontología de la UIC

Fisioterapeuta graduada por la Universidad Ramon Llull, número de Colegiado 12032
Especializada en disfunción craneomandibular y patologías de la ATM para Fisiofocus
Osteópata graduada en la ECO de Barcelona

Licenciado en Odontología por la Universidad Internacional de Catalunya con número de colegiado 4362
Programa de formación continuada en implantología y cirugía oral de BTI en 2007
Postgraduate Program in Oral Implantology 2012 por la University of California Los Angeles (UCLA)
Profesor asociado al programa de formación en cirugía e implantes de MIS training
Profesor asociado en el postgrado DIO (diploma en implantología oral) del COEC.

Graduada en Odontología – Universidad Internacional de Cataluña (UIC).
Master en Europeo de Endodoncia – Universidad Internacional de Catalunya (UIC).
Certificación Invisalign Go
Profesora asociada al departamento de odontología de la UIC






