Hay cosas en esta vida que son mejores cuando encajan unas con otras: los compañeros de piso, las parejas, las piezas de tu rompecabezas mental cuando te enfrentas a un problema y también los dientes.
Cuando, al cerrarse la boca, los dientes de la arcada superior e inferior encajan correctamente, hablamos de oclusión normal. Sin embargo, si la relación entre ambas arcadas cuando entran en contacto es incorrecta, existe una maloclusión y un problema de mordida.

Qué es la mordida cruzada

La mordida cruzada es uno de los más comunes. Se da cuando algún diente de la arcada superior encaja por detrás de los dientes inferiores, en vez de por delante. Esta anomalía puede producir problemas de masticación y articulación, el desgaste de las piezas dentales y trastornos como el bruxismo.

¡Te contamos en qué consiste, por qué se genera y cuál es el mejor tratamiento para solucionarla en función de la edad!

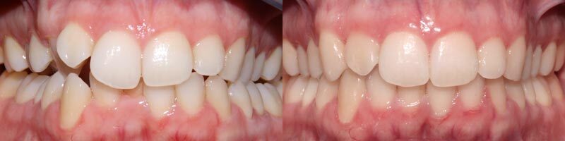
Mordida cruzada bilateral

Mordida cruzada bilateral. Tratamiento con brackets de autoligado Damon Clear.

La mordida cruzada se puede clasificar de distintas formas: en función de la ubicación de los dientes afectados será posterior o anterior; en función de si se da solo en un lado de la arcada o en ambos hablaremos de mordida cruzada unilateral o bilateral; y en función de las causas que la provoquen será de origen dentario, esquelético o mixto. Todos estos factores influyen a la hora de decidir el mejor tratamiento para la mordida cruzada.

Aunque existen factores genéticos que predisponen a tener una mordida cruzada, es importante tener en cuenta que la oclusión (la forma de morder) también puede cambiar a lo largo de la vida, porque los dientes tienden a moverse si nada se lo impide.

Por suerte, nuestra boca cuenta con elementos de retención como la encía y el hueso alveolar, además de los propios dientes que contactan entre sí. Pero también existen fuerzas que ayudan a desplazarlos, como la lengua, hábitos de la infancia o un deterioro progresivo de estos soportes como consecuencia de una mala salud oral.

Si se altera la relación entre los elementos de la boca y los dientes se desplazan, la oclusión cambiará. Esto puede ocurrir en la infancia, la adolescencia e incluso en la adultez. Por ello, el tratamiento variará en función del estado de desarrollo de los maxilares.

Mordida cruzada posterior 2

Mordida cruzada posterior

Paciente con mordida cruzada posterior, apiñamiento y arcada estrecha, tratada con Invisalign Full.

Cómo corregir la mordida cruzada en niños

Si se realizan visitas periódicas al ortodoncista infantil durante la infancia y detectamos la mordida cruzada entre los 6 y los 12 años, mientras se desarrollan los maxilares y se produce el recambio de dientes, podremos solucionarla con un tratamiento de ortodoncia interceptiva. Con este tipo de aparato podemos controlar el crecimiento de los huesos maxilares y mandibulares y evitar alteraciones.

Cómo corregir la mordida cruzada en adultos

Sin embargo, corregir la mordida cruzada en adolescentes y los adultos puede ser algo más complicado. A estas edades, los huesos han terminado de desarrollarse y por tanto ya no es posible moldearlos. En estos casos es necesario medir la severidad de la mordida cruzada y analizar si su origen es esquelético (el maxilar superior es más estrecho que el inferior) o dentario (los maxilares están proporcionados pero existe malposición dentaria).

Podemos encontrarnos con dos opciones para corregir la mordida cruzada en adultos .

  • Tratamiento con Invisalign: En los casos de origen dentario, la mordida cruzada puede corregirse con ortodoncia fija o removible. En nuestra clínica, contamos con un equipo de ortodoncistas con el certificado Invisalign Platinum Provider, que se concede a los profesionales que han tratado entre 41 y 80 pacientes a lo largo de 12 meses. Es una de las opciones más estéticas y cómodas si necesitas ortodoncia.
  • Ortodoncia combinada con cirugía ortognática. En los casos más severos, de origen esquelético, además del tratamiento de ortodoncia correspondiente, será necesario intervenir quirúrgicamente para modificar las bases óseas del paladar y colocarlas en la posición adecuada. Este procedimiento se denomina cirugía ortognática, y mejora en gran medida la función masticatoria y la estética facial.

Corrigiendo la mordida cruzada y cualquier otro tipo de maloclusión, conseguiremos repartir mejor las fuerzas masticatorias y evitar desgastes y fracturas dentales, lesiones musculares o articulatorias y contribuir a mantener en buen estado los tejidos de soporte de los dientes.

Especialistas en Invisalign Mataró: cuidamos de tu sonrisa

Sabemos que, aunque dos personas tengan el mismo problema de mordida, cada caso es único, por eso siempre trabajamos para centrar nuestro tratamiento en la persona que tenemos delante y la vemos a ella en conjunto, no solo a sus dientes.

Cuando realices tu primera visita a nuestra clínica dental en Mataró, nos reuniremos contigo varios especialistas, con el objetivo de analizar tus necesidades y determinar cuál es el mejor tratamiento para ti.

¡Contacta con nosotros si estás interesado en un diagnóstico para solucionar tu problema de mordida cruzada o necesitas un tratamiento de ortodoncia en Mataró!

Más información sobre problemas dentales:

Diferencias entre Ortodoncia Invisible y Ortodoncia con Brackets

Razones para hacerse una ortodoncia

Ortodoncia estética, ¿qué opciones hay?

Brackets. Qué tipos hay. Sus ventajas e inconvenientes

Agenesia dental: Qué es, consecuencias y cómo tratarla

Schedule appointment

Pablo Martinez

Graduado en Odontología Universidad Internacional de Cataluña, Barcelona Máster en Ortodoncia y Ortopedia Dentofacial UCAM ( 180 ECTS) EuroDental Institute, Barcelona Máster en Ortodoncia y Ortopedia MFS Dr. José Durant Von Arx ( Multifunction System) Orthodontic World Institute. Barcelona 2015-2018 European Master of Aligners Dr.Manuel Román (Invisalign system) Universidad de Barcelona, Master in Science of Lingual Orthodontics (WIN system) Orthodontic World Institute, Barcelona Postgrado en Implantología y Cirugía Oral Avanzada Centro formación Ambrós Barrado, Barcelona

Vestibulum ante ipsum

Vestibulum ac diam sit amet quam vehicula elementum sed sit amet dui. Donec rutrum congue leo eget malesuada vestibulum.

Leave A Comment

Related Posts