El tratamiento de la periodontitis es más delicado que el de la gingivitis, además de tener una mayor duración. Por ello, antes de llegar a este punto se recomienda encarecidamente acudir a un especialista en cuanto se noten los primeros síntomas de inflamación o acumulación de placa bacteriana para que ponga remedio. Si no se hace, la enfermedad periodontal debe tratarse para evitar la caída de los dientes y otros problemas de salud derivados. Existen diferentes tipos de tratamientos para la periodontitis, en función del avance que tenga el problema.
Objetivos del tratamiento de la periodontitis
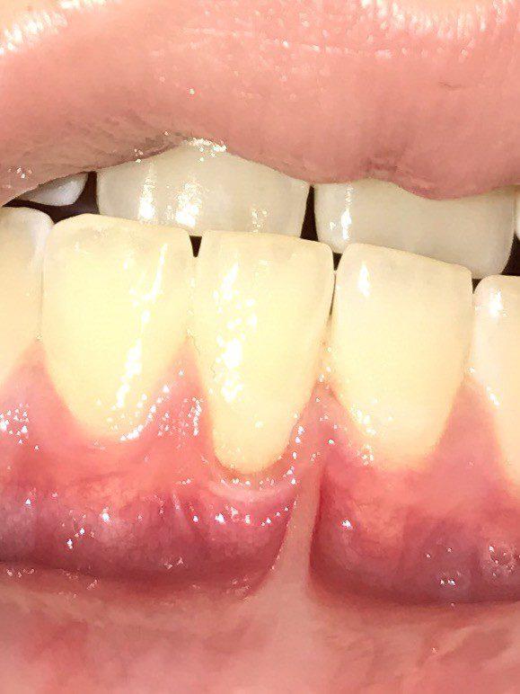
Una vez que se comprueba que es la periodontitis el problema al que se enfrenta el facultativo, hay una serie de objetivos que tiene el tratamiento de periodoncia, algunos de ellas prioritarios, como la recuperación del buen estado de las encías. El aspecto estético también es un objetivo secundario.
- Recuperación del estado de las encías en el tratamiento de la periodontitisPara recuperar la buena salud de las encías, hay dos elementos que deben atenderse de manera inmediata:-Eliminación de la placa
-Parar la periodontitis para evitar más pérdida de huesoEl primero de los casos requiere una limpieza profunda de la encía, así como unas buenas pautas de limpieza para que la periodontitis no se produzca. Para el segundo se requiere una intervención más profunda y larga. - Tratamiento estético de las encías después de frenar la periodontitisPara recuperar el aspecto original, se hacen una serie de injertos con el fin de cubrir la zona dañada, lo cual no solo trata las encías a nivel visible sino también a efectos de salud. Se cubre la zona en la que se han retraído las encías extrayendo microporciones de tejido del paladar para realizar estos injertos. De este modo los dientes tienen mayor sujeción y las encías cumplen su función de manera óptima.

Fases del tratamiento de la periodontitis
En función de la gravedad y el avance de la enfermedad periodontal, las fases del tratamiento incluyen más o menos pasos. Desde un estudio previo hasta un seguimiento para evitar que vuelva a surgir, las fases de un tratamiento de la periodontitis son:
- Tratamiento de la periodontitis leve-Estudio previo: Se realizan fotografías, mediciones de las encías, radiografías o cualquier otro tipo de prueba para ver el estado de los elementos que sostienen los dientes.
–Limpieza profesional: El dentista realiza una limpieza en la clínica para que las encías comiencen a recuperar su buen estado. Algunas veces esta limpieza puede ser suficiente para eliminar la periodontitis.
–Raspado de los dientes: Se realiza aplicando anestesia en un par de sesiones que tienen una duración aproximada de una hora.
–Pautas de higiene bucal: Después de la limpieza, el profesional da pautas concretas para realizar una limpieza profunda. Estas instrucciones de dan de manera específica en función de cada caso atendido.
–Control de la periodontitis: Con el fin de evitar que la enfermedad vuelva a aparecer, se hace un seguimiento regular. El paciente debe acudir a la clínica cada 3 o 6 meses para comprobar que el proceso de la periodontitis se he frenado.
–Mantenimiento: Cuando el tratamiento de la periodontitis se da por finalizado, es vital continuar con una buena higiene dental, así como visitar regularmente al dentista para que compruebe que no se acumula placa bacteriana o retirarla si aparece. - Si la periodontitis es más graveSi la enfermedad ha llegado a un grado muy avanzado, puede que sea necesaria una intervención más profunda. Una cirugía que recupere el hueso para que este se encuentre en su estado original y el diente no se mueva. Esta operación se hace con anestesia y requiere puntos de sutura para cerrar la encía.
Después de pasar por el tratamiento de la periodontitis
Una vez que el tratamiento ha terminado, hay que continuar con algunas pautas. La periodontitis cura solo si se siguen al pie de la letra las recomendaciones del dentista, que nos indicará cuál es la mejor manera de cepillarnos los dientes y las encías, de utilizar el hilo dental y qué tipo de pastas y suplementos son los que debemos utilizar con el fin de prevenir la gingivitis y evitar que esta se convierta en un problema mayor.
Además, las visitas regulares al dentista son importantes. De hecho, los expertos recomiendan una visita cada 6 meses aunque no hayamos tenido jamás problemas con nuestra boca y sigamos unas pautas de higiene bucal adecuadas. De este modo se pueden localizar los pequeños focos que ignorados traen como consecuencia problemas de mayor envergadura.
En caso de tener alguna duda, lo ideal es acercarte a nuestra clínica dental en Mataró para un diagnóstico y tratar adecuadamente nuestra salud dental.
También puedes leer:
13 tipos de urgencias dentales más comunes y cómo actuar
¿Es normal tener las encías inflamadas durante el embarazo?
Como prevenir la pérdida de encía y cuidar las encías

Graduada en Odontología – Universidad Internacional de Cataluña (UIC).
Master en Europeo de Endodoncia – Universidad Internacional de Catalunya (UIC).
Certificación Invisalign Go
Profesora asociada al departamento de odontología de la UIC
