La agenesia dental es uno de esos problemas dentales de los que no se oye hablar mucho, pero que afecta a bastantes personas adultas y niños. En este artículo vamos a ver cuáles son las causas que provocan la falta de dientes o agenesia dental, así como sus consecuencias y posibles soluciones.
Qué es la agenesia dental
La agenesia dental es una de las anomalías craneofaciales más frecuentes en el desarrollo humano. Se conoce como agenesia dental (“sin nacimiento”) la ausencia o falta de formación y desarrollo de una o más piezas dentales, ya sean temporales (de leche) o definitivos, es decir, sucede cuando el diente nunca ha llegado a formarse.
Principalmente, suele afectar a los incisivos y premolares, aunque la más frecuente en adultos se da en las muelas del juicio.
Cuando la agenesia se da en la dentición temporal es fácilmente detectable, puesto que el diente o dientes en cuestión, no llegan a salir. Sin embargo, cuando se da en los dientes definitivos, se detecta porque el diente de leche no llega a caerse, puesto que no tiene un diente definitivo por encima que le empuje y lo haga caer.
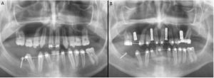
No obstante, la mejor forma de averiguar si se trata de agenesia o no, es mediante una radiografía de la boca, en la cual veremos si realmente hay diente y no puede salir por algún motivo o, por el contrario, no existe.
Más información sobre la agenesia dental
La agenesia dental más habitual es la que se da en las muelas del juicio. Este tipo de agenesia dental, que se estima que afecta a un 25% de la población, no supone un problema ya que su función es muy limitada y en muchas ocasiones, el odontólogo recomienda su extracción.
Tipos de agenesia dental
Dependiendo de la gravedad o número de piezas ausentes, se califica como :
- Hipodoncia: se trata de la agenesia dental más común (tanto en niños como adultos) y se caracteriza por la falta de entre una y seis piezas dentales. Por norma general, la hipodoncia no suele suponer un problema para la boca de los pacientes, ya que suele producirse por la simple falta de las muelas del juicio. De hecho, la falta de estas cuatro piezas dentales afecta al 25% de la población.
- Oligodoncia: también denominada como agenesia múltiple. Esta patología (menos frecuente que la anterior) se refiere a la falta de más de 6 dientes en la boca. Además, quienes padecen, también suelen presentar un desarrollo anómalo en los dientes que sí han brotado.
- Anodoncia: es una anomalía muy poco frecuente que se caracteriza por la total ausencia de dientes en la boca del paciente.
¿Qué causa la agenesia dental?
Generalmente, los primeros dientes en los bebés afloran a los seis u ocho meses y los siguientes aparecerán con una diferencia de unos cuatro meses entre ellos aproximadamente. En torno a los 30-36 meses, los bebés suelen tener todos los dientes de leche fuera.
Si el bebé ha cumplido los 18 meses y no ha dado señales que indiquen la inminente salida de algún diente, como inflamación y sensibilidad en la encía, deberíamos consultar con un especialista, ya que podría tratarse de un síntoma de otras enfermedades como hipotiroidismo, hipovitaminosis D o agenesia dental.
La agenesia dental, según distintos estudios, parece estar relacionada con factores hereditarios que provocan la falta de piezas dentales o que estas no se desarrollen de la manera adecuada. Esta es una patología congénita, es decir, no aparece así porque sí, sino que se nace ya con ella.
No existe una causa concreta que provoque agenesia, pero sí que se conocen ciertos factores que pueden favorecer su desarrollo.
- En primer lugar, puede influir un factor hereditario.
- En segundo lugar, suele presentarse junto a otros defectos congénitos como, por ejemplo, el labio leporino o en anomalías cromosómicas como el síndrome de Down.
- En tercer lugar, también es común en casos donde la madre ha sufrido alguna infección seria durante el embarazo como, por ejemplo, sífilis o tuberculosis.
Otras causas de la agenesia dental son:
Obstrucción o apiñamiento dental impide que haya el suficiente espacio en la boca del niño para que puedan salir todos los dientes. Generalmente, el apiñamiento dental se da porque el hueso de la encía y/o maxilar no son lo suficientemente grandes como para acoger a todos los dientes. También puede estar causado porque el tamaño de las piezas dentales es mayor de lo normal.
Anomalías en el epitelio: el epitelio bucal es la capa de la piel que recubre la cavidad de la boca. Cuando esta se ve alterada de forma congénita, suele provocar alteraciones en el desarrollo de la dentadura definitiva.
Factores evolutivos: el cráneo de los humanos actuales es mucho más pequeño que el de nuestros antepasados. Un ejemplo de agenesia dental provocada por la evolución humana la tenemos en la ausencia de las muelas del juicio.
Qué consecuencias genera la agenesia dental
La ausencia de piezas dentales conlleva una serie de consecuencias que van más allá de la estética dental.
Normalmente, los problemas más comunes están relacionados con una mala oclusión, provocada por el desplazamiento de los dientes contiguos a las ausencias, y problemas funcionales (masticación, salivación, pronunciación, etc.).
Cómo se diagnostica la agenesia dental
El diagnóstico de la agenesia en la infancia se detecta porque los dientes de leche se mantienen más tiempo del que deberían. Aunque es poco habitual esta patología puede evitar que se desarrollen los dientes de leche.
Al no aparecer un reemplazo que fuerce la caída del diente de leche éste permanece más allá de la edad a la que suelen ir cayéndose, y esta circunstancia es el primer indicio de que podemos estar ante un caso de agenesia.
Para confirmar esta sospecha inicial debe realizarse un escáner o radiografía que proporcione al especialista una visión completa de lo que sucede en el interior.
Evidentemente los casos más extremos sí que serán evidentes, y en esta situación es importante que se aplique un tratamiento a la mayor brevedad, tanto para evitar secuelas psicológicas como para que estos espacios vacíos que se generan no den lugar a malformaciones por el uso forzado que la dentadura tiene que soportar ante un menor número de elementos.
Cómo se trata la agenesia dental
La agenesia como tal no tiene un tratamiento que la evite, es decir, no podemos hacer nacer un diente cuando no está, pero sí que existen tratamientos que nos permiten enmascarar y recuperar la funcionalidad, estética y oclusión de nuestra boca.
Antes de elegir el tratamiento más adecuado, el odontólogo deberá valorar varios aspectos: número de piezas dentales que faltan, ubicación de las ausencias, edad del paciente, estado de la dentición del paciente, etc.
Los tratamientos más comunes para tratar la ausencia de piezas dentales provocadas por la agenesia, son los implantes dentales o prótesis dentales y la ortodoncia.
- El tratamiento con ortodoncia puede ser la solución idónea en casos en los que apenas falta una pieza y tiene dos objetivos: por un lado, cerrar el hueco que ha generado una ausencia dental o, por otro lado, dejar el espacio suficiente espacio en el hueco para, en un futuro, colocar un implante dental.
- En el caso de los implantes dentales, el objetivo es sustituir de forma definitiva el hueco de la ausencia de piezas dentales mediante la colocación de un implante y una corona dental.
- Las prótesis dentales son la forma más práctica de solucionar un problema grave de agenesia. Dependiendo de la magnitud del problema se pueden colocar prótesis parciales o completas.
Agenesia dental infantil
Contrariamente a lo que se cree, la agenesia dental es una patología con una prevalencia considerable entre los niños y puede manifestarse de diferentes maneras, desde la falta de un solo diente hasta la ausencia de varios dientes en la boca de un niño y puede afectar a los dientes de leche o a los permanentes una vez se caen los primarios.
Se estima que esta anomalía está presente entre el 3% y el 10% de los bebés y niños a nivel mundial. Es más habitual en los niños que padecen el Síndrome de Down o el labio leporino.
Generalmente, la agenesia no tiene implicaciones graves en la salud del niño más allá de posibles malformaciones en la dentadura: los dientes se distribuyen de manera aleatoria, ocupando mayor parte de la encía, doblándose,… , con las consecuentes dificultades para el habla o la alimentación.
La agenesia dental en niños puede darse en dos circunstancias diferentes:
- No brotan ni el diente de leche ni el definitivo.
- El diente de leche si brota dando lugar a dos patologías posteriores.
- La primera situación que puede darse es que el diente de leche no se caiga nunca y conviva con el resto de piezas dentales.
- La otra posibilidad es que el diente de leche termine desprendiéndose, pero el definitivo no salga nunca.
Como hemos visto al principio del artículo, las causas exactas de la agenesia dental infantil no siempre son claras, pero pueden deberse a factores genéticos o hereditarios. Además, parece que la exposición prenatal a factores como el tabaco y el alcohol, la duración del embarazo,… también pueden aumentar el riesgo de este trastorno.
Al igual que en los adultos, la agenesia dental puede variar en gravedad. Algunos niños pueden perder solo un diente, mientras que otros pueden enfrentar la pérdida de varios dientes. Los dientes más comúnmente afectados por la agenesia dental son los incisivos laterales superiores y los premolares.
¿Cómo se trata la agenesia en niños?
Hay dos estrategias diferenciadas para dar solución a la agenesia dental en niños. El estudio previo, según el número de piezas afectadas, su ubicación, la edad, estado de la dentición y sus preferencias, determinará la mejor opción en cada caso.
Ortodoncia infantil para agenesia
La ortodoncia es una opción de tratamiento común para los niños con agenesia dental. Si a un niño le falta uno o varios dientes, el ortodoncista puede utilizar aparatos ortodónticos, como brackets y alambres, para cerrar los espacios y mover los dientes existentes para ocupar el lugar de los dientes faltantes.
Este enfoque puede llevar tiempo, pero puede ser efectivo en la mayoría de los casos.
Mantenedores dentales.
En algunos casos, es necesario realizar un espacio de mantenimiento para permitir que el diente faltante sea reemplazado en el futuro. Este espacio de mantenimiento se crea mediante la colocación de un dispositivo llamado mantenedor de espacio.
Una vez que el niño ha crecido lo suficiente y su mandíbula ha alcanzado un cierto grado de desarrollo, se puede considerar la colocación de un implante dental o un puente para reemplazar el diente faltante de manera permanente.
Implantes dentales.
Este enfoque es especialmente adecuado para los adolescentes o adultos jóvenes que han completado su crecimiento facial.
Como ves es muy importante consultar a un dentista o a un ortodoncista si sospechas que tu hijo puede padecer agenesia dental, ya que un diagnóstico temprano y un tratamiento adecuado pueden ayudarle garantizar una sonrisa saludable y hermosa a lo largo de la vida.
Pero también, a ti como persona adulta, también podemos ayudarte a solucionar la falta de alguna o varias piezas dentales por una agenesia o porque la has perdido por algún accidente o patología. En nuestra clínica dental en Mataró contamos con un equipo de dentistas multidisciplinar para realizar todo tipo de tratamientos dentales como implantes dentales y ortodoncia. Llámanos al 93 741 40 06 y te informamos sin compromiso sobre los mejores tratamientos para mejorar tu sonrisa.
También puedes leer:
Qué es y cómo corregir la mordida cruzada en niños y adultos
Ortodoncia para corregir un solo diente, ¿es necesaria?
Diastema dental: ¿se puede cerrar el espacio entre dientes?

Graduada en Odontología – Universidad Internacional de Cataluña.
Colegiada COEC con número 7477.
Master en Oclusión y Rehabilitación Oral – Universidad de Barcelona.
Especialista en Medicina Dental del Sueño – acreditación Somnomed para la confección de Dispositivos de Avance Mandibular (DAM) para el manejo de apneas y ronquido.
Fotografía Digital en el Sector Dental.
Diferentes cursos de estética y rehabilitación oral – Universidad Internacional de Cataluña, Universidad de Barcelona y Sociedad Catalana de Odontología y Estomatología.
Related Posts

Graduada en Odontología – Universidad Internacional de Cataluña (UIC).
Master en Europeo de Endodoncia – Universidad Internacional de Catalunya (UIC).
Certificación Invisalign Go
Profesora asociada al departamento de odontología de la UIC

Fisioterapeuta graduada por la Universidad Ramon Llull, número de Colegiado 12032
Especializada en disfunción craneomandibular y patologías de la ATM para Fisiofocus
Osteópata graduada en la ECO de Barcelona

Licenciado en Odontología por la Universidad Internacional de Catalunya con número de colegiado 4362
Programa de formación continuada en implantología y cirugía oral de BTI en 2007
Postgraduate Program in Oral Implantology 2012 por la University of California Los Angeles (UCLA)
Profesor asociado al programa de formación en cirugía e implantes de MIS training
Profesor asociado en el postgrado DIO (diploma en implantología oral) del COEC.

Graduada en Odontología – Universidad Internacional de Cataluña.
Colegiada COEC con número 7477.
Master en Oclusión y Rehabilitación Oral – Universidad de Barcelona.
Especialista en Medicina Dental del Sueño – acreditación Somnomed para la confección de Dispositivos de Avance Mandibular (DAM) para el manejo de apneas y ronquido.
Fotografía Digital en el Sector Dental.
Diferentes cursos de estética y rehabilitación oral – Universidad Internacional de Cataluña, Universidad de Barcelona y Sociedad Catalana de Odontología y Estomatología.






